Are you looking for a beautiful, confident smile that you can be proud of? Redmond Signature Dentistry is here to help you achieve the smile of your dreams with our cosmetic dentistry services.
Our experienced team of detail professionals are committed to providing high-quality care that meets your unique needs and desires. We offer a range of cosmetic dental treatments, including teeth whitening, cosmetic bonding, porcelain veneers, gum contouring, Botox, and dermal fillers — to enhance the appearance of your teeth and improve your overall oral health.
With our state-of-the-art technology and personalized approach, we can create a customized treatment plan that is tailored to your individual needs and goals. Let us help you achieve the beautiful smile you deserve – contact our Redmond, WA dentistry today to schedule your cosmetic dental consultation.
Our Cosmetic Dentistry Services
Teeth Whitening
We offer many different teeth whitening options, from an in-office treatment to custom take-home trays made just for you. Our professional whitening options eradicate stains and reverse age-related darkening so that you can put your best smile forward.
Cosmetic Bonding
Are minor blemishes embarrassing you? Preventing you from smiling? Cosmetic bonding is a conservative, minimally invasive solution. Only one appointment is required to return your happy, confident smile.
Veneers
Veneers are thin porcelain shells that are bonded to the front of your teeth. They fit and function like your natural teeth and are an excellent option to correct chipped, broken, crooked, and stained teeth.
Botox
Botox injections can relieve chronic muscular tension in the face, head, and neck, thereby helping fight migraines and other chronic headaches and neck-ache problems. Botox also helps patients stop grinding their teeth and clenching their jaws.
Full Mouth Restorations
Most ideal for patients with severe damage, a compromised bite, and/or a loss of function of the teeth. We rebuild your smile back to give you the confidence you deserve.
Frequently Asked Questions
General dentistry focuses on preventing and restoring decayed and damaged teeth while cosmetic dentistry is typically brought up when someone wants to enhance their smile for aesthetic reasons.
Aside from the confidence you’ll have after achieving the smile you desire, it provides you with long-lasting results and can help improve your oral health. It can also remedy any bite issues you may have previously experienced and so much more!
Implants, crowns, veneers, dental bonding, and teeth whitening all fall under the cosmetic dentistry category.
If your teeth and gums are healthy, you are eligible for cosmetic dental work. Your dentist will first address any issues with decay or gum disease before proceeding with cosmetic procedures.
Cosmetic dental services are not covered by insurance as they are not strictly necessary. Cost varies by patient as everything is designed for the best function of your personal needs whether it’s veneers, crowns, or bonding. We will provide you with an estimate before everything gets started so you are aware of your out-of-pocket costs. You can then decide if or how you would like to move forward with the process.
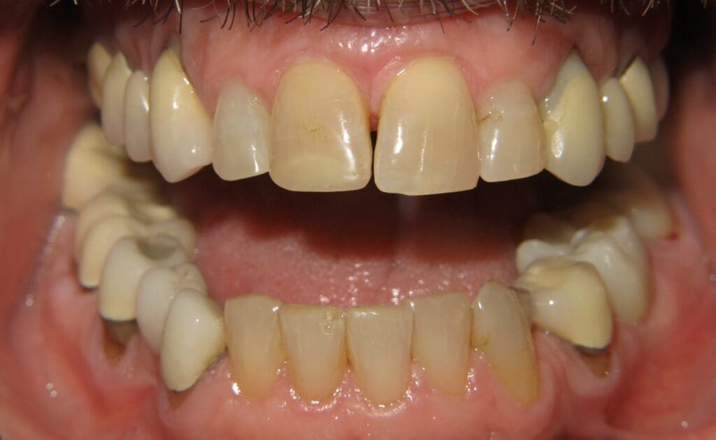
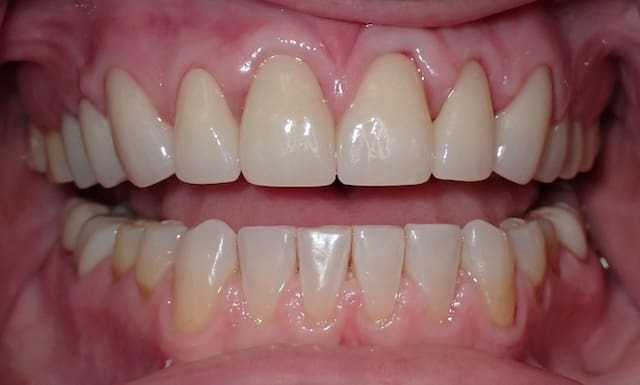
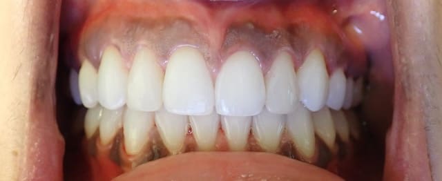
Before:
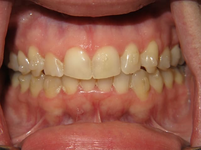
After:
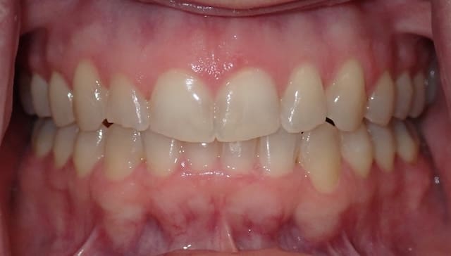
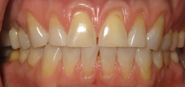
Before:
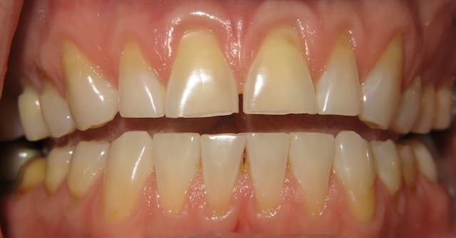
After:
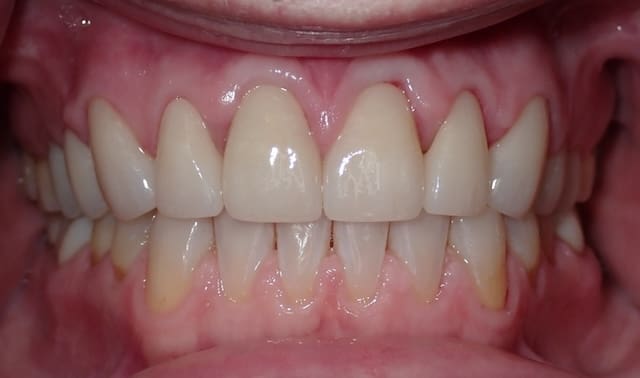
Before:
After:
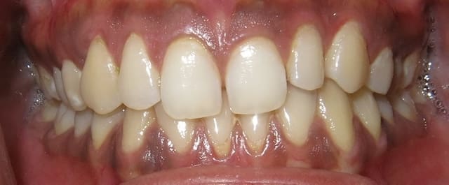
Before:
After:
Before:
After:










