Candid Pro will straighten your teeth invisibly, without metal braces. Most people won’t even notice you’re wearing them. Candid Pro aligners can also be removed to eat, brush, floss, or for special occasions.
Our Candid Pro Procedure: Step-by-Step
Make an appointment to see your Redmond Dentist Candid Pro provider. In our office, we will use photos, x-rays, scanner, or impressions to get a great, accurate, 3D picture of your teeth. We will consult with you about your straightening goals.
We will provide you with the first in a series of aligners, customized to move the teeth that need to be moved.
On subsequent appointments, we will provide a gradual series of aligners, each one moving the teeth gently and gradually to meet your straightening needs.
Show off your new, straightened smile!
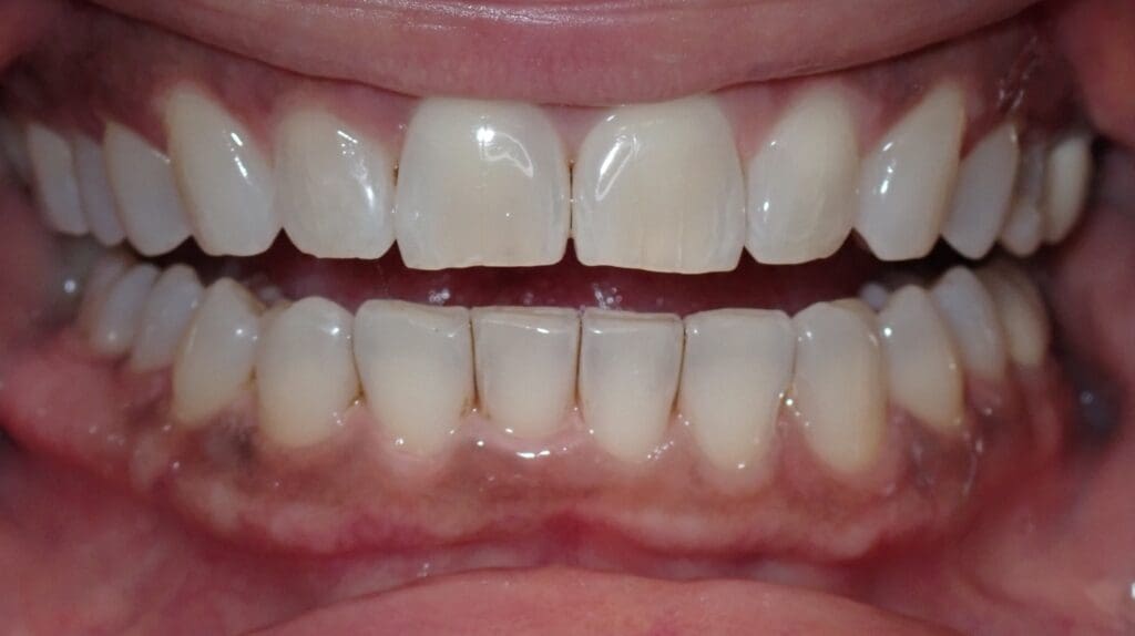
Before:
After:


